Crohnova choroba – příčiny, diagnostika, léčba a dietní opatření
14. ledna 2021
Dlouhodobé bolesti břicha, rychlé hubnutí, průjmy, únava. Těmito příznaky, které výrazně snižují kvalitu života, se projevuje Crohnova choroba. Onemocnění, jehož vznik je neznámý, napadá imunitní systém vlastního těla. Jak s nemocí, která je zatím nevyléčitelná, žít? Poradíme v článku.
Lékaře byste měli určitě navštívit při dlouhodobých zažívacích obtížích, když objevíte krev ve stolici, začnete náhle hubnout bez zjevné příčiny, máte zvýšenou teplotu nebo stálé průjmy.
Vznik a původ Crohnovy nemoci
Autoimunitní onemocnění, které napadá buňky vlastního těla, především zažívací trakt nemocného, se projeví nejčastěji kolem dospívání, mezi 20. a 30. rokem věku. Jeho původ je zatím neznámý, ale vliv má dědičnost, životní styl (způsob stravování, kouření, nadměrná konzumace alkoholu), stres a etnická příslušnost. Nejčastěji nemocí trpí lidé ve vyspělých zemích, běloši a východoevropané židovského původu. Crohnova choroba se jako chronické, tedy dlouhodobé, zánětlivé onemocnění projevuje ohnisky v celém zažívacím traktu – nejčastěji v tenkém a tlustém střevě, ale může zasáhnout i jícen. Střevo se následkem zánětů zužuje, vytvářejí se abscesy (hnisavá ložiska) a píštěle (nepřirozené kanálkovité propojení mezi orgány).
Lékaře byste měli určitě navštívit při dlouhodobých zažívacích obtížích, když objevíte krev ve stolici, začnete náhle hubnout bez zjevné příčiny, máte zvýšenou teplotu nebo stálé průjmy. Při potížích se můžete objednat do některé z gastroenterologických ambulancí zdravotnické skupiny EUC. Specialisté zde s vámi proberou vaše obtíže a provedou základní vyšetření. Poté se domluvíte na dalším postupu.
Ke stanovení diagnózy patří řada vyšetření:
Anamnéza – hodnocení příznaků, výskyt v rodině – při výskytu u někoho z blízkých se riziko onemocnění zvyšuje.
Fyzikální vyšetření – vyšetření břicha pohmatem, stav ústní dutiny (pohledem, zda se objevují afty a jiné záněty).
Laboratorní vyšetření – Základní krevní rozbor, který v případě nemoci odhalí zvýšené zánětlivé parametry, může se objevit anemie (chudokrevnost), nedostatek železa.
Specializované vyšetření střev – kolonoskopie – endoskopem zavedeným do konečníku lze kamerou zjistit stav střevní sliznice v celé délce a odebrat vzorek (biopsii) pro další rozbor. Vyšetření vyžaduje několikadenní přípravu (řízené vyčištění střev), ale není bolestivé – probíhá pod sedativy.
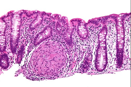
Crohnova choroba se projevuje také zánětlivými ohnisky ve střevech. Kulatý chronicky zanícený granulom je patrný na fotografii dole v levé části. Foto: Nephron, Wikimedia Commons
Léčba Crohnovy choroby
Postupuje se podle stádia a závažnosti onemocnění každého pacienta. Nemoc probíhá v několika fázích: v té klidové (remise), se neprojevuje téměř žádnými příznaky, v obdobích vzplanutí (relapsu), je pak třeba tlumit nejzávažnější projevy choroby.
„Pro zklidnění jsou lékem první volby antibiotika, při výrazných potížích se nasazují kortikosteroidy, které potlačují záněty, nebo imunosupresiva k utlumení aktivity imunitního systému. Pro všechny nemocné platí v období relapsu změna stravovacího režimu – hlavně bezezbytková dieta. U těžších případů je vhodná biologická léčba, která je již v posledních letech lépe dostupná a dostane ji každý indikovaný pacient,“ vysvětluje MUDr. Petra Rycková z kliniky Canadian Medical, která je součástí zdravotnické skupiny EUC.
Při komplikacích, například neprůchodnosti střev či jejich proděravění, je nutné přistoupit k chirurgickému řešení. Pokud je místo ohraničené, lze odstranit část postiženého střeva a pacienti mají velkou naději na výrazné zlepšení zdravotního stavu.
Dieta při Crohnově chorobě
Každý pacient musí postupně sám zjistit, co mu na činnost střev dělá dobře. Jako obecné zásady, co jíst a nejíst s Crohnovou chorobou, platí:
Nevhodné jsou: mléko, semínka, slupky. Žádná smažená, tučná a kořeněná jídla, vyvarujte se nadýmavého zelí a luštěnin.
Dobře se vstřebávají: ryby díky vysokému obsahu nenasycených mastných kyselin, banány, papája, mango, avokádo, zralé meruňky, švestky a žlutý meloun. Doporučují se vejce kvůli vysokému obsahu bílkovin a vitaminů. Organismu prospějí dietní masa, rýže, brambory, zelenina upravená v páře a zakysané výrobky.
Crohnova choroba a těhotenství
V průběhu těhotenství a v době kojení většinou Crohnova nemoc poleví na intenzitě. Některé pacientky na biologické léčbě dokonce léky vysadí a po ukončení kojení se k léčbě vrátí bez větších zvratů a propuknutí příznaků. Proto se nemusíte těhotenství bát, druhá strana je dědičnost nemoci. Počítejte s tím, že bude váš potomek ve vyšším riziku rozvoje této choroby.
Prevence projevů Crohnovy nemoci
Dodržujte zdravý životní styl (strava, pohyb, odpočinek, pobyt v přírodě)
Zdravotnická skupina EUC otevřela nové oddělení radiodiagnostiky s magnetickou rezonancí v prostorách EUC Kliniky Hradec Králové. Celková investice do vybavení oddělení, stavebních úprav a příslušenství dosáhla 70 milionů Kč. Moderní pracoviště s novým přístrojem magnetické rezonance významně zlepší dostupnost tohoto vyšetření pro pacienty v celém Královehradeckém kraji.
Sokolský běh republiky (SBR) už pomalu klepe na dveře – 28. října vyběhneme napříč Českem i za jeho hranicemi, abychom oslavili vznik republiky pohybem. Registrace probíhají až do 24. října a organizátory těší, že je našlápnuto k účastnickému rekordu. Na start se postaví nejen tisíce běžců všech věkových kategorií, ale i známé osobnosti ze světa sportu a kultury. Letos mezi ambasadory nechybí například dvojnásobný olympijský vítěz Lukáš Krpálek, který si trasu vyzkoušel na nedělní generálce.
více
Svou registrací/přihlášením k odběru newsletteru poskytuji společnosti *EUC a.s., Na Pankráci 1690/125, 140 00 Praha 4, IČ: 26730413, skup. DIČ: CZ699002423,* souhlas se zpracováním svých osobních údajů v nezbytném rozsahu, za účelem zařazení do databáze k marketingovým účelům, tj. zejména nabízení výrobků, služeb a za účelem zasílání obchodních sdělení a novinek prostřednictvím elektronických prostředků dle platného zákona č. 480/2004 Sb., o některých službách informační povinnosti.
Souhlas poskytuji dobrovolně na dobu neurčitou. Zároveň prohlašuji, že mnou uvedené údaje jsou pravdivé.
Souhlas může být kdykoli odvolán písemnou formou na adresu společnosti nebo využitím funkce zrušení registrace/odhlášení v newsletteru.
Společnost prohlašuje, že bude zpracovávat údaje v souladu s platnou právní úpravou a pouze k účelům, ke kterým mu byl poskytnut souhlas.